Portal Mesenteric Vascular Disease Treatment
We also provide specialised treatment procedures for these relatively rare but complex vascular problems:
- Portal hypertension not well controlled by endoscopic treatment
- Mesenteric Ischemia (acute and chronic)
- Mesenteric Aneurysms and Pseudoaneurysms
- Celiac Artery Compression Syndrome (MALS – Median Arcuate Ligament Syndrome)
The therapeutic options performed include
- Porto-systemic Shunt Surgery
- Mesenteric Artery Bypass
- Mesenteric Angioplasty
- Mesenteric or Splenic Aneurysm Coil Angiographic Embolisation
Frequently asked questions

The most common cause of acute mesenteric vascular insufficiency is a blood clot blocking one of the mesenteric arteries that supplies blood to the intestines. This condition is known as mesenteric arterial thrombosis and it can lead to decreased blood flow to the intestines, causing tissue damage and intestinal ischemia or gangrene. Other causes of acute mesenteric vascular insufficiency can include arterial spasms, embolisms, and low blood flow due to various cardiovascular diseases.
The symptoms of portal ( liver vein) vein thrombosis can vary depending on the severity of the blockage and whether it develops gradually or suddenly. Common symptoms may include:
- Abdominal pain or discomfort, often in the upper right quadrant
- Nausea and vomiting
- Diarrhea
- Fever
- Swelling of the abdomen or legs
- Loss of appetite
- Weight loss
- Jaundice (yellowing of the skin and eyes)
- Ascites (accumulation of fluid in the abdomen)
- Enlarged spleen
In severe cases, portal vein thrombosis can cause liver failure, bleeding disorders, and other complications. Some people with portal vein thrombosis may have no symptoms at all. If you are experiencing any of these symptoms, it is important to see a Senior Vascular & Endovascular and Varicose Vein Surgeon for an evaluation.
Yes, mesenteric ischemia can be life-threatening if not promptly diagnosed and treated. The lack of blood flow to the intestines can cause tissue death and lead to gangrene, intestinal perforation, sepsis, and death. Symptoms of mesenteric ischemia can include abdominal pain, nausea, vomiting, diarrhea, and bloody stools. If you experience these symptoms, it is important to seek medical attention right away and consult a Senior Vascular & Endovascular Surgeon.
The treatment of portal vein blockage depends on the underlying cause and severity of the condition. Here are some common treatment options:
Anticoagulation therapy: This involves the use of medications such as heparin or warfarin to prevent further blood clots from forming and to help dissolve existing clots.
Thrombolysis: This involves the use of medications to dissolve blood clots that are blocking the portal vein. It is typically reserved for cases of acute or severe portal vein thrombosis.
Surgery: In some cases, surgery may be necessary to remove the clot or bypass the blocked area. This is usually reserved for cases that do not respond to other treatments or for people who are at high risk of developing complications.
Management of underlying conditions: If an underlying condition such as cirrhosis or cancer is causing portal vein thrombosis, it is important to manage that condition as well.
The appropriate treatment for portal vein blockage will depend on the underlying cause and the severity of the blockage. A Gastroentrologist along with a Senior Vascular & Endovascular and Varicose Vein Surgeon can evaluate your individual situation and recommend the best treatment approach.
The treatment of mesenteric artery disease depends on the severity and location of the blockage. Here are some common treatment options:
Medication: Some medications can help reduce blood pressure, cholesterol levels, and inflammation, which can improve blood flow to the intestines. Antiplatelet agents may also be used to prevent blood clots.
Angioplasty and stenting: This involves the use of a catheter and a small balloon to widen the blocked artery and a stent to keep it open.
Surgery: In some cases, surgery may be necessary to bypass the blocked artery or remove plaque build-up.
Lifestyle changes: Making lifestyle changes such as quitting smoking, exercising regularly, and eating a healthy diet can help improve blood flow and prevent further damage.
The appropriate treatment for mesenteric artery disease will depend on the severity and location of the blockage, as well as your individual health status and medical history. A senior vascular & endovascular and varicose vein surgeon can evaluate your situation and recommend the best treatment approach. It is important to seek prompt treatment if you suspect you may have mesenteric artery disease, as the condition can lead to intestinal damage and even death if left untreated.
The diagnosis of mesenteric vasculitis usually involves a combination of medical history, physical examination, and diagnostic tests. Here are some common methods used to diagnose mesenteric vasculitis:
Blood tests: Blood tests can help evaluate inflammation and identify autoimmune disorders that may be causing mesenteric vasculitis.
Imaging tests: Imaging tests such as CT scan, MRI, or ultrasound can help evaluate blood flow and identify any blockages or inflammation in the mesenteric vessels.
Biopsy: A biopsy involves taking a small sample of tissue from the affected area to evaluate for signs of inflammation and blood vessel damage.
Angiography: This involves the use of contrast dye and X-rays to evaluate the blood vessels and identify any blockages or inflammation.
The appropriate diagnostic approach for mesenteric vasculitis will depend on the individual’s symptoms and medical history. A Senior Vascular & Endovascular and Varicose Vein Surgeon can evaluate the individual and recommend the most appropriate diagnostic tests. Early diagnosis and treatment are important in mesenteric vasculitis to prevent further damage and complications.
The prognosis for portal vein thrombosis (PVT) depends on several factors such as the cause of the thrombosis, the extent of the clot, and whether or not the clot leads to serious complications.
Some people with PVT may have no symptoms or experience mild symptoms and can live for many years without any issues. However, in some cases, PVT can lead to serious complications such as portal hypertension, liver failure, and gastrointestinal bleeding. The mortality rate for acute PVT with intestinal ischemia ranges from 20-50%.
If PVT is detected early and treated promptly, the risk of serious complications may be reduced. It is important for individuals with PVT to work closely with their healthcare providers to manage the condition and prevent complications. Regular monitoring and follow-up with a healthcare provider are recommended.
Yes, it is possible to live with portal vein thrombosis (PVT) depending on the extent of the clot, the underlying cause, and whether or not the clot leads to serious complications.
Some people with PVT may have no symptoms or experience mild symptoms and can live for many years without any issues. However, in some cases, PVT can lead to serious complications such as portal hypertension, liver failure, and gastrointestinal bleeding.
Gallery


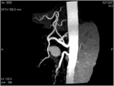
Mesenteric Artery Aneurysm

Mesenteric Bypass

Hepatic Aneurysm Coiling




